• About
  • Advertise
  • Careers
  • Contact
Thursday, May 14, 2026
NEWSLETTER
KBK Times
No Result
View All Result
  • Home
    • Home – Layout 1
    • Home – Layout 2
    • Home – Layout 3
    • Home – Layout 4
    • Home – Layout 5
  • World
  • Politics
  • Business
  • Science
  • Tech
    Indian Sports-Tech Startup Advanced Impactor Reshaping Cricket Coaching Through AI

    Indian Sports-Tech Startup Advanced Impactor Reshaping Cricket Coaching Through AI

    SB Infowaves Commands Centre Stage at CMPL Expo 2026, Drawing Record Footfall & Investor Buzz

    SB Infowaves Commands Centre Stage at CMPL Expo 2026, Drawing Record Footfall & Investor Buzz

    Nikhil Goyal’s Kreativemedia.io Secures Investment from SEO Pioneer Jitendra Vaswani

    Nikhil Goyal’s Kreativemedia.io Secures Investment from SEO Pioneer Jitendra Vaswani

    Identityy by Treefe Onboards 100+ Digital Marketing Agencies, Strengthens India’s Social Media & Startup Ecosystem

    Identityy by Treefe Onboards 100+ Digital Marketing Agencies, Strengthens India’s Social Media & Startup Ecosystem

    Kingston Technology Highlights Design-In Memory and Industrial SSD Solutions for Mission-Critical Systems

    Kingston Technology Highlights Design-In Memory and Industrial SSD Solutions for Mission-Critical Systems

    BahwanCyberTek Launches CloudXcel to Introduce AI-Driven Autonomous Cloud Engineering

    BahwanCyberTek Launches CloudXcel to Introduce AI-Driven Autonomous Cloud Engineering

    Trending Tags

    • Sillicon Valley
    • Climate Change
    • Election Results
    • Flat Earth
    • Golden Globes
    • MotoGP 2017
    • Mr. Robot
  • Entertainment
    • All
    • Gaming
    • Movie
    • Music
    • Sports
    India Takes Centre Stage at the 79th Festival de Cannes

    India Takes Centre Stage at the 79th Festival de Cannes

    Tasveer Hosts the Only Official South Asian Panel on the Main Stage of Cannes Du Marche

    Tasveer Hosts the Only Official South Asian Panel on the Main Stage of Cannes Du Marche

    Aaomi by Shiloh Launches Mumbai’s First-Ever Moon & Galaxy-Themed Restaurant at Sky City Mall, Borivali

    Aaomi by Shiloh Launches Mumbai’s First-Ever Moon & Galaxy-Themed Restaurant at Sky City Mall, Borivali

    Teaser of Krishna Aur Chitthi strikes an emotional chord, leaves audiences deeply moved

    Teaser of Krishna Aur Chitthi strikes an emotional chord, leaves audiences deeply moved

    Mumbai Witnessed a Grand Premiere of Nitishali Production’s “Vaanki Chuki: Love Story” Amidst Glamour and Celebration

    Mumbai Witnessed a Grand Premiere of Nitishali Production’s “Vaanki Chuki: Love Story” Amidst Glamour and Celebration

    Vineet Singh Hukmani Pioneers a Global Tribute to 50 Years of the Iconic Song Hotel California

    Vineet Singh Hukmani Pioneers a Global Tribute to 50 Years of the Iconic Song Hotel California

    The Infinite Scroll War: When Streaming Won The Audience… But Lost The Math

    The Infinite Scroll War: When Streaming Won The Audience… But Lost The Math

    The Return Of Shadows: When Entertainment Decided Happiness Was Overrated

    The Return Of Shadows: When Entertainment Decided Happiness Was Overrated

    The King Returns: Why Christopher Nolan’s ‘The Odyssey’ is the Must-Watch Event of 2026-New Trailer Out

    The King Returns: Why Christopher Nolan’s ‘The Odyssey’ is the Must-Watch Event of 2026-New Trailer Out

  • Lifestyle
    • All
    • Fashion
    • food
    • Health
    • Travel
    Krishna’s Ayurveda, She Care Juice Clinically Proven to Support PCOD Management in 90 Days

    Krishna’s Ayurveda, She Care Juice Clinically Proven to Support PCOD Management in 90 Days

    Duttashrey Aashram Sets Record with 24-Hour Uninterrupted Datta Bavani Recitation and 1.25 Lakh Paan-Clove Offerings During Hanuman Yagna

    Duttashrey Aashram Sets Record with 24-Hour Uninterrupted Datta Bavani Recitation and 1.25 Lakh Paan-Clove Offerings During Hanuman Yagna

    Oriflame Presents WhosNext2026 Influencer Awards – East & Northeast Edition Celebrates Regional Voices in Kolkata

    Oriflame Presents WhosNext2026 Influencer Awards – East & Northeast Edition Celebrates Regional Voices in Kolkata

    Dr. Arpit Chopra Jain Represents India at Prestigious International Forums in Sri Lanka, Japan, and New Delhi

    Dr. Arpit Chopra Jain Represents India at Prestigious International Forums in Sri Lanka, Japan, and New Delhi

    The Warning Signs Were There; Nobody Was Looking

    The Warning Signs Were There; Nobody Was Looking

    The Science of Discipline: Dr. Pratyaksha Bhardwaj Creates World Record in Sustainable Weight Loss

    The Science of Discipline: Dr. Pratyaksha Bhardwaj Creates World Record in Sustainable Weight Loss

    Why Reader’s Coffee House is the Best Café in Noida

    Why Reader’s Coffee House is the Best Café in Noida

    BlueRose Publishers Announces the Release of The Catalyst Code: From Stuck to Unstoppable – A Journey of Inner Awakening and Personal Mastery by Arpit Dubey

    BlueRose Publishers Announces the Release of The Catalyst Code: From Stuck to Unstoppable – A Journey of Inner Awakening and Personal Mastery by Arpit Dubey

    The Indian Doctor Leading a ‘Natural Birth’ Revolution: How Dr. Ranjitsinh Joja is Transforming Tribal Healthcare

    The Indian Doctor Leading a ‘Natural Birth’ Revolution: How Dr. Ranjitsinh Joja is Transforming Tribal Healthcare

    Dr. Pratayksha Bhardwaj’s World Record Transformation Receives Global Recognition at British Parliament

    Dr. Pratayksha Bhardwaj’s World Record Transformation Receives Global Recognition at British Parliament

    Trending Tags

    • Golden Globes
    • Mr. Robot
    • MotoGP 2017
    • Climate Change
    • Flat Earth
  • Home
    • Home – Layout 1
    • Home – Layout 2
    • Home – Layout 3
    • Home – Layout 4
    • Home – Layout 5
  • World
  • Politics
  • Business
  • Science
  • Tech
    Indian Sports-Tech Startup Advanced Impactor Reshaping Cricket Coaching Through AI

    Indian Sports-Tech Startup Advanced Impactor Reshaping Cricket Coaching Through AI

    SB Infowaves Commands Centre Stage at CMPL Expo 2026, Drawing Record Footfall & Investor Buzz

    SB Infowaves Commands Centre Stage at CMPL Expo 2026, Drawing Record Footfall & Investor Buzz

    Nikhil Goyal’s Kreativemedia.io Secures Investment from SEO Pioneer Jitendra Vaswani

    Nikhil Goyal’s Kreativemedia.io Secures Investment from SEO Pioneer Jitendra Vaswani

    Identityy by Treefe Onboards 100+ Digital Marketing Agencies, Strengthens India’s Social Media & Startup Ecosystem

    Identityy by Treefe Onboards 100+ Digital Marketing Agencies, Strengthens India’s Social Media & Startup Ecosystem

    Kingston Technology Highlights Design-In Memory and Industrial SSD Solutions for Mission-Critical Systems

    Kingston Technology Highlights Design-In Memory and Industrial SSD Solutions for Mission-Critical Systems

    BahwanCyberTek Launches CloudXcel to Introduce AI-Driven Autonomous Cloud Engineering

    BahwanCyberTek Launches CloudXcel to Introduce AI-Driven Autonomous Cloud Engineering

    Trending Tags

    • Sillicon Valley
    • Climate Change
    • Election Results
    • Flat Earth
    • Golden Globes
    • MotoGP 2017
    • Mr. Robot
  • Entertainment
    • All
    • Gaming
    • Movie
    • Music
    • Sports
    India Takes Centre Stage at the 79th Festival de Cannes

    India Takes Centre Stage at the 79th Festival de Cannes

    Tasveer Hosts the Only Official South Asian Panel on the Main Stage of Cannes Du Marche

    Tasveer Hosts the Only Official South Asian Panel on the Main Stage of Cannes Du Marche

    Aaomi by Shiloh Launches Mumbai’s First-Ever Moon & Galaxy-Themed Restaurant at Sky City Mall, Borivali

    Aaomi by Shiloh Launches Mumbai’s First-Ever Moon & Galaxy-Themed Restaurant at Sky City Mall, Borivali

    Teaser of Krishna Aur Chitthi strikes an emotional chord, leaves audiences deeply moved

    Teaser of Krishna Aur Chitthi strikes an emotional chord, leaves audiences deeply moved

    Mumbai Witnessed a Grand Premiere of Nitishali Production’s “Vaanki Chuki: Love Story” Amidst Glamour and Celebration

    Mumbai Witnessed a Grand Premiere of Nitishali Production’s “Vaanki Chuki: Love Story” Amidst Glamour and Celebration

    Vineet Singh Hukmani Pioneers a Global Tribute to 50 Years of the Iconic Song Hotel California

    Vineet Singh Hukmani Pioneers a Global Tribute to 50 Years of the Iconic Song Hotel California

    The Infinite Scroll War: When Streaming Won The Audience… But Lost The Math

    The Infinite Scroll War: When Streaming Won The Audience… But Lost The Math

    The Return Of Shadows: When Entertainment Decided Happiness Was Overrated

    The Return Of Shadows: When Entertainment Decided Happiness Was Overrated

    The King Returns: Why Christopher Nolan’s ‘The Odyssey’ is the Must-Watch Event of 2026-New Trailer Out

    The King Returns: Why Christopher Nolan’s ‘The Odyssey’ is the Must-Watch Event of 2026-New Trailer Out

  • Lifestyle
    • All
    • Fashion
    • food
    • Health
    • Travel
    Krishna’s Ayurveda, She Care Juice Clinically Proven to Support PCOD Management in 90 Days

    Krishna’s Ayurveda, She Care Juice Clinically Proven to Support PCOD Management in 90 Days

    Duttashrey Aashram Sets Record with 24-Hour Uninterrupted Datta Bavani Recitation and 1.25 Lakh Paan-Clove Offerings During Hanuman Yagna

    Duttashrey Aashram Sets Record with 24-Hour Uninterrupted Datta Bavani Recitation and 1.25 Lakh Paan-Clove Offerings During Hanuman Yagna

    Oriflame Presents WhosNext2026 Influencer Awards – East & Northeast Edition Celebrates Regional Voices in Kolkata

    Oriflame Presents WhosNext2026 Influencer Awards – East & Northeast Edition Celebrates Regional Voices in Kolkata

    Dr. Arpit Chopra Jain Represents India at Prestigious International Forums in Sri Lanka, Japan, and New Delhi

    Dr. Arpit Chopra Jain Represents India at Prestigious International Forums in Sri Lanka, Japan, and New Delhi

    The Warning Signs Were There; Nobody Was Looking

    The Warning Signs Were There; Nobody Was Looking

    The Science of Discipline: Dr. Pratyaksha Bhardwaj Creates World Record in Sustainable Weight Loss

    The Science of Discipline: Dr. Pratyaksha Bhardwaj Creates World Record in Sustainable Weight Loss

    Why Reader’s Coffee House is the Best Café in Noida

    Why Reader’s Coffee House is the Best Café in Noida

    BlueRose Publishers Announces the Release of The Catalyst Code: From Stuck to Unstoppable – A Journey of Inner Awakening and Personal Mastery by Arpit Dubey

    BlueRose Publishers Announces the Release of The Catalyst Code: From Stuck to Unstoppable – A Journey of Inner Awakening and Personal Mastery by Arpit Dubey

    The Indian Doctor Leading a ‘Natural Birth’ Revolution: How Dr. Ranjitsinh Joja is Transforming Tribal Healthcare

    The Indian Doctor Leading a ‘Natural Birth’ Revolution: How Dr. Ranjitsinh Joja is Transforming Tribal Healthcare

    Dr. Pratayksha Bhardwaj’s World Record Transformation Receives Global Recognition at British Parliament

    Dr. Pratayksha Bhardwaj’s World Record Transformation Receives Global Recognition at British Parliament

    Trending Tags

    • Golden Globes
    • Mr. Robot
    • MotoGP 2017
    • Climate Change
    • Flat Earth
No Result
View All Result
KBK Times
No Result
View All Result
Home Lifestyle Health

Hope in Surat: 74-Year-Old Liver Cancer Patient’s “Impossible” Recovery Under Herbal Treatment

by admin
August 22, 2025
in Health
0
Hope in Surat: 74-Year-Old Liver Cancer Patient’s “Impossible” Recovery Under Herbal Treatment
0
SHARES
1
VIEWS
Share on FacebookShare on Twitter

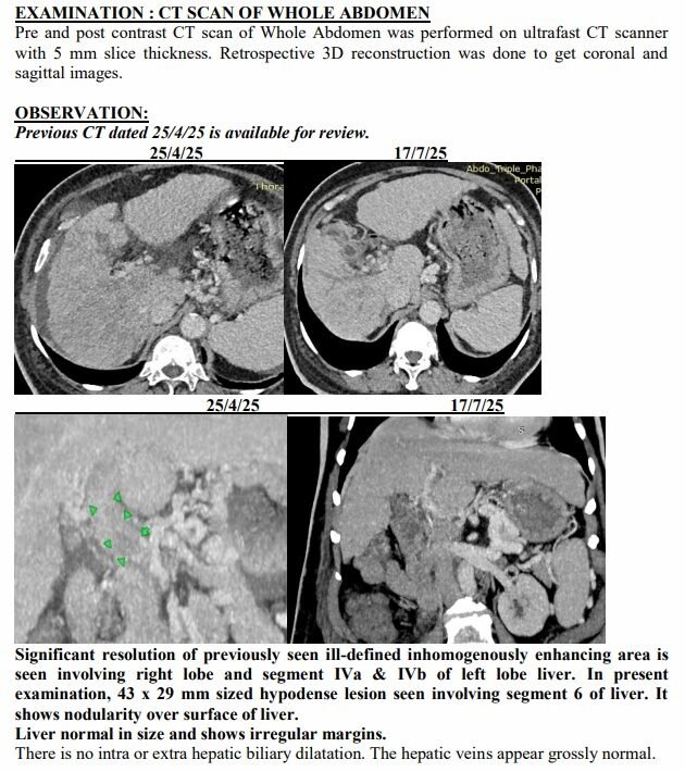
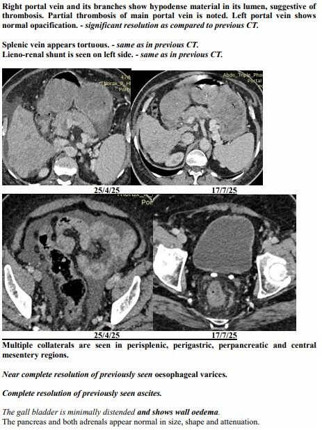
Surat (Gujarat) [India], August 22: On a hot April afternoon in Surat, the Patel family sat in a crowded hospital waiting room, clutching a CT scan report that felt heavier than paper. The words were sharp, merciless: advanced liver cancer, spread across both lobes, blocked veins, fluid buildup, bone changes. For 74-year-old Ravjibhai (name changed), the doctors spoke plainly: there was no cure left, only comfort care.

“You could say it was the moment we stopped talking about tomorrow,” remembers his nephew, Dr. Siddharth Patel. “We were quietly preparing for the end.”

Yet just three months later, on another afternoon in July, the same family stared at a different scan. The tumours had shrunk to one patch. Blood was flowing again. The swelling was gone. Even the alarming tumour marker that had shot up to 1,000 ng/mL had fallen to 10, back in the safe zone. For a man who had been fading fast, it was a turnaround no one in the room dared to predict.

The difference between those two afternoons was a name: Dr. Ranjit Sinh Solanki, a Surat-based oncologist whose reputation runs on both herbal roots and scientific rigour. Known for treating thousands of cancer patients and publishing in international journals, Dr. Solanki is neither a mystic nor a miracle-seller. His work draws from Ayurveda, ethnobotany and pharmacology, blended into what he calls “integrative oncology.”

“People assume herbs mean guesswork,” he says, sitting in his modest clinic. “But my regimens are science-driven. They target the molecular pathways of disease, while also protecting the body from toxic side effects. It’s not alternative, it’s integrative.”

Ravjibhai’s case became proof of concept. Prescribed a personalised herbal regimen meant to reduce tumour load, restore liver function and boost immunity, he began showing slight changes in weeks. The fever broke. Jaundice eased. He ate a little more each day and walked a little further. His family noticed he was laughing again, something they hadn’t heard in months.

The July scan sealed what they were already feeling at home. The many shadows in his liver had shrunk into one. His abdomen, once swollen with fluid, was flat again. His numbers, which had scared even seasoned oncologists, were suddenly within range.

A senior radiologist who reviewed both reports told this correspondent, “Such a reversal in advanced liver cancer is extremely rare. Clinically, it borders on the unbelievable.”

Of course, medicine is cautious by nature. Experts warn that one case does not equal a cure. Clinical trials and larger studies are necessary before anyone can claim victory over such a deadly disease. But in living rooms and small temples across Gujarat, people don’t speak in clinical terms. They call it a chamatkar, a wonder.

Dr. Siddharth Patel, who referred his uncle to Dr. Solanki, remains both a believer and a doctor. “We saw him slipping away in April. By July, we saw him walking in the courtyard, asking for chai. Call it science, call it a miracle, it gave us back precious time.”

Dr. Solanki himself avoids the word miracle. “This is research, not ritual,” he insists. But he does admit one thing: India’s herbal heritage may hold answers the world has underestimated. “Our plants, our knowledge systems, they are not relics. With proper validation, they can save lives. What matters is restoring dignity, giving patients life without fear of toxicity.”

Today, Ravjibhai is stable. The disease has not disappeared entirely, but it is no longer dictating his everyday. He eats, he sleeps, he speaks with his grandchildren. For a man once written off, each day is now a gift.

And in Surat, where faith and pragmatism often walk hand in hand, the story is already spreading. A man who was told there was no tomorrow now has many tomorrows. Science will debate the details, but for his family, it is simple: he is alive, and that is enough.

admin

admin

Next Post
Jayprakash B. Somani: A Voice of Law, Learning, and Leadership

Jayprakash B. Somani: A Voice of Law, Learning, and Leadership

Recommended

Somaiya Vidyavihar University Hosts Public Lecture by Prof Nigel J Mason on Space:Crossing The Next Human Frontier

Somaiya Vidyavihar University Hosts Public Lecture by Prof Nigel J Mason on Space:Crossing The Next Human Frontier

1 year ago
Regenagri Fast Track Cotton Initiative Unites Brands, Farmers and Industry Leaders for Climate-Resilient Cotton Future

Regenagri Fast Track Cotton Initiative Unites Brands, Farmers and Industry Leaders for Climate-Resilient Cotton Future

5 months ago

Popular News

  • De’ Hellington by Helly and Chilly Secures Trademarks in 5 Countries and Sets 4 World Records, Debuting the World’s First Zero-Gravity Flying Pizza

    De’ Hellington by Helly and Chilly Secures Trademarks in 5 Countries and Sets 4 World Records, Debuting the World’s First Zero-Gravity Flying Pizza

    0 shares
    Share 0 Tweet 0
  • NSAM Institute proudly presents Défilé de Mode Season 5 – Beyond The Frame

    0 shares
    Share 0 Tweet 0
  • Samunnati Announces Leadership Transition to Drive “Samunnati 2.0”: The Next Wave of Tech-Led Agri Growth

    0 shares
    Share 0 Tweet 0
  • India Takes Centre Stage at the 79th Festival de Cannes

    0 shares
    Share 0 Tweet 0
  • Active Clothing Co. Limited Targets Additional Rs 200–250 Cr Retail Opportunity with Launch of NUEMO Retail Platform

    0 shares
    Share 0 Tweet 0

Connect with us

Newsletter

Lorem ipsum dolor sit amet, consectetuer adipiscing elit. Aenean commodo ligula eget dolor.
SUBSCRIBE

Category

  • Blog
  • Business
  • Entertainment
  • Fashion
  • food
  • Gaming
  • Health
  • Lifestyle
  • Movie
  • Music
  • National
  • Politics
  • Press Release
  • Science
  • Sports
  • Tech
  • Travel
  • World

Site Links

  • Log in
  • Entries feed
  • Comments feed
  • WordPress.org
  • About
  • Advertise
  • Careers
  • Contact

© 2026 JNews - Premium WordPress news & magazine theme by Jegtheme.

No Result
View All Result
  • Home
  • Politics
  • World
  • Business
  • Science
  • National
  • Entertainment
  • Gaming
  • Movie
  • Music
  • Sports
  • Fashion
  • Lifestyle
  • Travel
  • Tech
  • Health
  • Food

© 2026 JNews - Premium WordPress news & magazine theme by Jegtheme.